Техника/Наука
Продолжительность: 02:26 / размер: 8.72 Мб
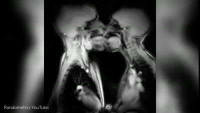
Sex-ray vision: Video reveals the inner workings of kissing and intercourse filmed using an MRI scanner The MRI scanner footage was compiled by news site Vox...
Тэги:
mri scans take a look at internal organs during sex
Статистика и данные ↓
Всего просмотров: 1045


